Osteosarcoom (Botkanker) bij de hond

Osteosarcoom (Botkanker)

Osteosarcoom (Botkanker)

Osteosarcoom is de meest voorkomende kwaadaardige bottumor bij dieren. Het is een vorm van botkanker en vormt 3 tot 6% van alle soorten tumoren. Vrijwel alle honden die botkanker (osteosarcoom ) hebben komen te overlijden omdat de tumoren snel groeien en uitzaaien naar de longen.

Symptomen van osteosarcoom (botkanker) bij de hond

De eerste symptomen van botkanker bij de hond zijn meestal kreupelheid door hevige pijn in de poot. Doordat de tumor snel en invasief groeit wordt het botweefsel verwoest wordt en neemt de kans op botbreuken toe. Het is een zeer kwaadaardige tumor en in veel gevallen is de tumor helaas al uitgezaaid naar de longen wanneer de diagnose gesteld wordt. Bij grotere rassen komt deze bottumor vaker voor dan bij kleinere hondenrassen.

Diagnose van osteosarcoom (botkanker) bij de hond

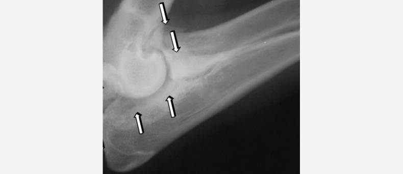
Naast het nemen van een röntgenfoto van de aangedane poot van de hond wordt de diagnose van osteosarcoom gesteld op basis van de verschijnselen en bevindingen bij het lichamelijk onderzoek en het onderzoek van het bewegingsapparaat.

Behandeling van osteosarcoom (botkanker) bij de hond

De behandeling van osteosarcoom bestaat uit het amputeren (verwijderen) van de poot waar de tumor zit. Echter is dit alleen effectief als de tumor nog niet uitgezaaid is

Progonose van osteosarcoom (botkanker) bij de hond

De prognose van osteosarcoom is niet goed, mede door het feit dat de tumor vaak al te ver uitgezaaid is voordat er ook maar klachten zijn bij de hond

Preventie van osteosarcoom (botkanker) bij de hond

Osteosarcoom kan niet voorkomen worden.

Bron foto: Joel Mills, Canine osteosarcoma, resized, cropped, CC BY-SA 3.0

Welke rassen zijn vatbaar voor osteosarcoom (botkanker)

Van de volgende rashonden is bekend dat ze aanleg hebben of gevoelig zijn voor osteosarcoom (botkanker)

Deze informatie is ter kennisgeving. Bij vragen en advies neem dan contact op met je dierenarts.

Anderen bekeken ook